Лента новостей
| 1 | ||||||
| 2 | 3 | 4 | 5 | 6 | 7 | 8 |
| 9 | 10 | 11 | 12 | 13 | 14 | 15 |
| 16 | 17 | 18 | 19 | 20 | 21 | 22 |
| 23 | 24 | 25 | 26 | 27 | 28 | 29 |
| 30 | 31 |
| 1 | 2 | 3 | 4 | 5 | ||
| 6 | 7 | 8 | 9 | 10 | 11 | 12 |
| 13 | 14 | 15 | 16 | 17 | 18 | 19 |
| 20 | 21 | 22 | 23 | 24 | 25 | 26 |
| 27 | 28 | 29 | 30 |
| 1 | 2 | 3 | ||||
| 4 | 5 | 6 | 7 | 8 | 9 | 10 |
| 11 | 12 | 13 | 14 | 15 | 16 | 17 |
| 18 | 19 | 20 | 21 | 22 | 23 | 24 |
| 25 | 26 | 27 | 28 | 29 | 30 | 31 |
7 апреля
Где в городе поесть хорошее мясо?
11:32Реклама
- Информация
- ООО «Шабалинагрупп»
- ИНН
- 7456043268
- ID обявления:
- 2VfnxxqoCfC
6 апреля
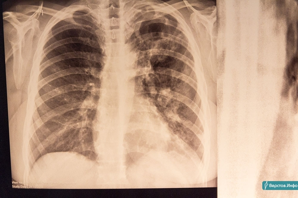
Игнорируют прививки и профосмотры! В Магнитогорске в 2021 году туберкулёз выявили у 167 горожан, 10 из них – дети
Уже в ближайший четверг, 24 марта, будут отмечать Всемирный день борьбы с туберкулезом.

Каждый год во всем мире этим коварным и опасным заболеванием заражается около 10 млн человек, 1 млн – ежегодно погибают от туберкулеза. В России эпидемиологическая ситуация по туберкулезу каждый год остается стабильно напряженной.
По словам главврача ГБУЗ «Областная туберкулезная больница № 3» Анатолия Шалагина, в Магнитогорске эпидемиологическая ситуация имеет свою специфику. Высокая заболеваемость туберкулезом в нашем городе обусловлена значительным числом больных наркоманией в сочетании с ВИЧ-инфекцией. В 2021 году туберкулезом заболели 167 магнитогорцев, в том числе 10 детей и подростков. Среди вновь выявленных случаев заболевания в 40 % туберкулез сочетался с ВИЧ-инфекцией. И с каждым годом эта цифра неуклонно растет.
Наряду с этим отмечается ежегодное нарастание числа случаев туберкулеза с множественной лекарственной устойчивостью (МЛУ). В прошлом году каждый третий бацилловыделитель имел туберкулезную палочку, устойчивую к обычным противотуберкулезным препаратам. Причинами этого являются бесконтрольное применение населением антибиотиков и низкая санитарная культура горожан.
Основным методом профилактики туберкулеза является вакцинация, которая должна проводиться всем здоровым новорожденным в родильных домах. Однако ежегодно отмечается значительное число случаев, когда родители отказываются от вакцинации. В 2021 году прививки от туберкулеза получили лишь 89 % новорожденных детей. На сегодняшний день в Магнитогорске уже более 500 детей не имеют прививок от туберкулеза.
Наряду с вакцинопрофилактикой важное место занимает своевременность прохождения населением профилактических медицинских осмотров на туберкулез, которые имеют своей целью раннее выявление патологии. Чем раньше будет выявлено заболевание, тем быстрее оно будет вылечено полностью. Согласно действующим нормативно-правовым актам все жители города должны ежегодно проходить профилактический осмотр. Однако на практике значительная часть населения игнорирует профосмотры, надеясь, что туберкулез обойдет их стороной. Зачастую уже заболевшие люди своевременно не обращаются за медицинской помощью, в результате чего у них формируются тяжелые формы заболевания. При этом они заражают своих близких, соседей, коллег по работе… Важно знать и помнить, что сегодня туберкулезом может заразиться КАЖДЫЙ. Заражение может произойти везде.
В рамках проведения Всемирного дня борьбы с туберкулезом Областная туберкулезная больница № 3 проводит ряд мероприятий, направленных на привлечение общественного внимания к проблемам туберкулеза, повышение санитарной культуры населения и формирование ответственного отношения магнитогорцев к своему здоровью и здоровью своих близких. Конечно, формы проведения таких мероприятий имеют ряд ограничений, связанных с пандемией COVID-19. Тем не менее предусмотрено проведение лекций, круглых столов и конференций в лечебных и образовательных организациях города. Также с 21 по 27 марта на оживленных перекрестках города и в ТРК планируется демонстрация социальной рекламы по вопросам профилактики туберкулеза.
Поделиться новостью
Если вы заметили ошибку в тексте, выделите ее и нажмите Ctrl+Enter
Смотрите также
Последние комментарии
Людмила Михайловна,от души поздравляю с прздником! Всегда вас уважал и уважаю, вы - профессионал, с вами было приятно работать! Здоровья, удачи в делах! Будете в Спб, встретимся! звоните!
Сегодня, 13:11Очень здорово , когда люди имеющие такой колоссальный опыт, приходят в образование. Здоровья, сил и долгих лет жизни.
Сегодня, 12:42В Магнитогорске самокатчик не спешился на зебре и был сбит иномаркой. Кикшеринговая компания, которой принадлежит самокат, назначила водителю штраф за нарушение правил использования самоката. ……………………………………………………………………………… С места ДТП водитель самостоятельно доставила пострадавшего в травмпункт, там ему было назначено амбулаторное лечение. А вот в Госавтоинспекцию женщина-водитель не сообщила о случившемся, и теперь её может ждать лишение в/у. ………………………………………………………………………………… КОММЕНТ: Дык наверно надо знать, Запрещено всем покидать, Происшествие на месте, Женщине, водиле БЛ….ДЬ
Сегодня, 12:16Челябинскую проводницу выбросил из вагона поезда пассажир, которого не выпустили покурить. У женщины сломан позвоночник, а на дебошира заведено уголовное дело. ……………………………………………………………………………… Как сообщила официальный представитель МВД России Ирина Волк, агрессор – неоднократно судимый 47-летний уроженец Кировской области. «Пытался выйти из вагона во время короткой остановки. Получив отказ от проводницы, он вытолкнул её из тамбура на железнодорожные пути. Женщина получила травмы средней степени тяжести. В дальнейшем злоумышленник высказывал угрозы в адрес начальника поезда», – рассказала Ирина Волк. ………………………………………………………………………………… КОММЕНТ: Дык наверно надо знать, Кого в поезд запускать И проверить где билеты, Выписаны, на чьё имя «БЛ….ДЬ»
Сегодня, 11:16Ну зашёл я вчера посмотреть, что там за раменная станция такая. Народу почти никого. Сотрудницы — ноль внимания. Одна в мониторе сидит, вторая бегает вокруг с озабоченным видом. Ни "здрасьте", ни "до свидания", ни "что вам показать-рассказать". Видать, рылом не вышел. Раменная станция — это, конечно, просто песня. Я-то, наивный магнитогорский юноша, думал, что там готовый бульон и нормальная лапша, а там... Тупо наливаешь горячую воду в тарелку за 50 рублей (одноразовую тарелку, Карл! Сколько там вода стоит, даже не спрашивал, ибо не у кого), и кладёшь туда обычный бич-пакет! И зачем попу гармонь? Такой рамен я и сам сделаю. В общем, стёр я приложение и пошёл оттуда куда подальше. Ну... удачи, чё. Она вам понадобится.
Сегодня, 08:14Любителя покурить упаковать в трюм лет на 10. Без возможности покурить.
Сегодня, 07:48Россия не может проиграть эту войну. Просто потому что нет сейчас никакой России. Как не было Германии в 1939-1945 годах. Как тогда Германия восстала из пепла, так сейчас Россия восстанет из пепла.
Вчера, 22:04ноябрь 2025 года? Оперативненько сработали!? А где спали 5 месяцев ответственные по расследованию? На коврик их!
Вчера, 18:49Привокзальная площадь в Магнитогорске может стать местом притяжения туристов В Магнитогорске началась презентация проектов благоустройства территорий, которые примут участие в рейтинговом голосовании по проекту «Формирование комфортной городской среды». ………………………………………………………………………………… vit2508t 3 апреля -1 Вы забыли ярмарку Америкосов в 1989 году Это когда КОЛА больше Урала текла! ………………………………………………………………………………. КОММЕНТ Дык наверно надо знать, Ничего не забывать, И тогда народ наш русский, Вспомнит ярмарку опять……………………………….., Был конец восьми-десятых, Всё пучком в РОССИИ «БЛ…ДЬ.
Вчера, 11:25Привокзальная площадь в Магнитогорске может стать местом притяжения туристов В Магнитогорске началась презентация проектов благоустройства территорий, которые примут участие в рейтинговом голосовании по проекту «Формирование комфортной городской среды». ……………………………………………………………………………………. vit2508t 3 апреля -1 Вы забыли ярмарку Америкосов в 1989 году Это когда КОЛА больше Урала текла! ………………………………………………………………………………. КОММЕНТ: Дык наверно надо знать, Ничего не забывать, И тогда народ наш русский, Вспомнит ярмарку опять……………………………….., Был конец восьми-десятых, Всё пучком в РОССИИ «БЛ…ДЬ.
Вчера, 11:23