Лента новостей
| 1 | 2 | |||||
| 3 | 4 | 5 | 6 | 7 | 8 | 9 |
| 10 | 11 | 12 | 13 | 14 | 15 | 16 |
| 17 | 18 | 19 | 20 | 21 | 22 | 23 |
| 24 | 25 | 26 | 27 | 28 | 29 | 30 |
| 1 | 2 | 3 | 4 | 5 | 6 | 7 |
| 8 | 9 | 10 | 11 | 12 | 13 | 14 |
| 15 | 16 | 17 | 18 | 19 | 20 | 21 |
| 22 | 23 | 24 | 25 | 26 | 27 | 28 |
| 29 | 30 | 31 |
| 1 | 2 | 3 | 4 | |||
| 5 | 6 | 7 | 8 | 9 | 10 | 11 |
| 12 | 13 | 14 | 15 | 16 | 17 | 18 |
| 19 | 20 | 21 | 22 | 23 | 24 | 25 |
| 26 | 27 | 28 | 29 | 30 | 31 |
5 декабря
Арсенал высокотехнологичной аппаратуры городской больницы № 1 имени Г. И. Дробышева пополнил новый аппарат МРТ
11:02Реклама
- Информация
- ГАУЗ «Городская Больница № 1 им. Г. И. Дробышева г. Магнитогорск»
- ИНН
- 7445040385
- ID обявления:
- 2VfnxxFoY5F
В диагностическом центре АНО «ЦКМСЧ» открыта запись на платную консультацию к врачу-травматологу-ортопеду
08:30Реклама
- Информация
- АНО «ЦКМСЧ»
- ИНН
- 7445019792
- ID обявления:
- 2Vfnxy47JdP
Даниил Ситников: «В Магнитогорске есть запрос на новый уровень фитнеса»
08:00Реклама
- Информация
- ООО «СПОРТКУЛЬТ»
- ИНН
- 7456058899
- ID обявления:
- 2VfnxxmRGbK
4 декабря
В диагностическом центре АНО «ЦКМСЧ» можно быстро и качественно пройти ультразвуковое исследование
18:00Реклама
- Информация
- АНО «ЦКМСЧ»
- ИНН
- 7445019792
- ID обявления:
- 2VfnxxWyZi9
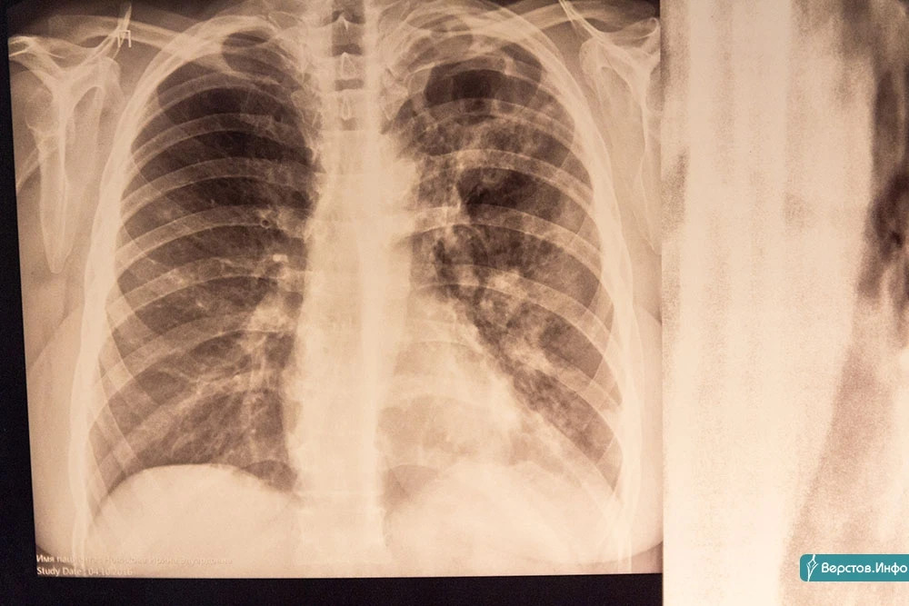
В Магнитогорске туберкулёз всё чаще сочетается с ВИЧ и всё более устойчив к лекарствам
Ежегодно 24 марта отмечают Всемирный день борьбы с туберкулёзом. Каждый год во всём мире этим коварным и опасным заболеванием поражается около 10 млн человек, 1 млн жителей Земли ежегодно погибают от туберкулёза.

Эпидемиологическая ситуация по туберкулёзу в России остаётся стабильно напряжённой. Наиболее неблагополучными территориями являются регионы, относящиеся к Дальневосточному, Сибирскому и Уральскому федеральным округам.
В Магнитогорске эпидемиологическая ситуация улучшается, но имеет свою специфику. Высокая заболеваемость туберкулёзом обусловлена значительным числом больных наркоманией в сочетании с ВИЧ-инфекцией. В 2023 году туберкулёзом заболели 167 магнитогорцев, в том числе восемь несовершеннолетних.
«Среди вновь выявленных случаев заболевания в 42 % случаев туберкулёз сочетался с ВИЧ-инфекцией. С каждым годом эта цифра неуклонно растёт. Наряду с этим отмечается ежегодное нарастание числа случаев туберкулёза с множественной лекарственной устойчивостью (МЛУ). В 2023 году каждый третий бацилловыделитель имел туберкулёзную палочку, устойчивую к обычным противотуберкулёзным препаратам. Причинами этого являются бесконтрольное применение населением антибиотиков и низкая санитарная культура горожан», – рассказывает главный врач ГБУЗ «Областная туберкулёзная больница № 3» Анатолий Шалагин.

По его словам, ВИЧ-туберкулёз и МЛУ-туберкулёз являются основными причинами высокой смертности населения от туберкулёза. Дело в том, что эти формы заболевания отличаются особой агрессивностью и трудно поддаются лечению. В 2023 году в Магнитогорске от туберкулёза скончались 15 человек.
«Основным методом профилактики туберкулёза является вакцинация, которая должна проводиться всем здоровым новорождённым в родильных домах. Однако ежегодно отмечается значительное число случаев, когда родители отказываются от вакцинации. В 2023 году прививки от туберкулёза получили лишь 87,4 % новорождённых, 116 мам отказались от вакцинации своих детей», – констатирует Шалагин.
На сегодняшний день в Магнитогорске уже более 500 детей не имеют прививок от туберкулёза. По сути, они никак не защищены от туберкулёзной палочки и оставлены один на один со смертельно опасным возбудителем.
Наряду с вакцинопрофилактикой важное место занимает своевременность прохождения населением профилактических медицинских осмотров на туберкулёз. Главная цель таких исследований – раннее выявление патологии. Чем раньше будет выявлено заболевание, тем быстрее оно будет вылечено полностью. Согласно действующим нормативно-правовым актам, все жители города должны ежегодно проходить профилактический осмотр. Однако на практике значительная часть населения игнорирует профосмотры, надеясь, что туберкулёз обойдёт их стороной. Зачастую уже заболевшие люди своевременно не обращаются за медицинской помощью. В результате у них формируются тяжёлые формы заболевания. При этом они заражают своих близких, соседей, коллег… Медики отмечают, что сегодня туберкулёзом может заразиться каждый. Заражение может произойти где угодно.

В рамках Всемирного дня борьбы с туберкулёзом Областная туберкулёзная больница № 3 и Центр медицинской профилактики проведут ряд мероприятий, направленных на привлечение общественного внимания к проблемам туберкулёза, повышение санитарной культуры населения и формирование ответственного отношения магнитогорцев к своему здоровью и здоровью своих близких.
С 18 по 24 марта в образовательных и медицинских организациях города состоятся тематические конференции, пройдут встречи с ветеранами, школьниками и студентами. Во всех поликлиниках города (в том числе и поликлинике ГБУЗ «ОТБ № 3» на ул. Н. Шишки, 17) будет организована акция «Просветись». Каждый желающий сможет пройти рентгенологическое обследование органов грудной клетки.
Поделиться новостью
Служба новостей «Верстов.Инфо»
Если вы заметили ошибку в тексте, выделите ее и нажмите Ctrl+Enter
Смотрите также
Последние комментарии
демонтаж невозможен без представленного проекта, так что они в курсе...
Вчера, 21:13Хотел мужичок рыбку съесть, а пришлось на... сесть
3 декабряОно не сырое, а парное.
3 декабряДосидит второй срок до сентября 2026 года и свалит из города может в Москву или Челябинск "на повышение" если не догонят из правоохранительных органов. Компромат в ФСБ есть на каждого, но не дают ход делу пока....как с Измалковым и Тефтелевым.
3 декабряИстория ничему не учит - В Советском Союзе золотая лихорадка рубежа 1920–1930-х была государственным предприятием, целью которого было финансирование индустриализации и создание национального золотого запаса. Сталин обратил внимание на золотодобычу только с началом промышленного рывка. В конце 1927 года он вызвал к себе старого большевика Александра Павловича Серебровского, к тому времени уже отличившегося в деле восстановления нефтяной промышленности, и назначил его председателем только что созданного «Союззолота». В Советской России в тот год добыли всего около 20 т чистого золота, но Сталин поставил задачу по-большевистски смело: догнать и перегнать Трансвааль — мирового лидера, выдававшего более 300 т чистого золота в год! Поток золота в хранилища Госбанка стал расти. Возвращаясь к анализу калифорнийской золотой лихорадки, Сталин проинформировал Серебровского, что поначалу на золотых приисках Калифорнии работали старатели, вручную, в условиях, ярко описанных Брет Гартом. Он добавил: «Старатели и у нас могут сыграть важную роль».Очень существенное заявление. В то время, в 1927 году, старатели-одиночки еще скитались по золотоносным участкам, просто потому, что коммунисты не утруждали себя добычей золота. Высокопоставленные коммунисты планировали тогда, однако, объявить вне закона всех единоличников, будь то крестьян или мелких городских торговцев либо ремесленников. Но Сталин, выходит, собирался даже тогда использовать старателей-одиночек. Позднее, как мы увидим, ему пришлось спорить с другими коммунистическими лидерами по этому вопросу, и победить только после временного отступления. Старатели открывали для «Союззолота» много новых золотых месторождений, и отбивать у них охоту казалось неразумным.С 1932 года к «гражданской» золотодобыче, находившейся в ведении Наркомата тяжелой промышленности. Во второй половине 1930-х годов СССР вышел на второе место в мире по золотодобыче, обогнав США и Канаду и уступая, хотя и с огромным отрывом, только Южной Африке, годовая добыча которой к концу десятилетия приблизилась к 400-тонной отметке. Это сделали частные старатели!!! Вопрос в чем? Незаконный оборот или незаконная добыча золота? Если добыча не доказана то надо переквалифицировать в незаконный оборот золота. Как показывает судебная практика - судьи не хотят оправдательных приговоров; подсудимые имеют право на реабилитация и компенсацию морального вреда за незаконное привлечение заведомо невиновного! А по мнению даже нынешних Сталин тиран. Не простили ему победу в войне; как сказал У. Черчилль "Он взял страну в лаптях и передал её с ядерной бомбой". Читайте историю!
3 декабряЮжноуральцам рекомендуют отказаться от использования личного автотранспорта, воспользоваться общественным и дышать полной грудью!
3 декабря"Мэрия Магнитогорска также не в курсе планов застройщика." Ужас! а мэрия в курсе чего-нибудь в этом городе? Так то вроде не ларек сносят!
3 декабрятебе не надо, а бердникову надо!
3 декабряНа вопрос, что вокруг чего вращается - Земля вокруг Солнца, или Солнце вокруг Земли, прапорщик ответил уклончиво:"Да пошел ты нк такой то матери...."
3 декабряЧелябинские власти отказались обеспечивать водоснабжение поселка Джабык
3 декабря